YOUR CHILD'S SURGERY WITH DR. COOPER

Your child has been booked for orthopaedic surgery with Dr. Cooper. This pamphlet contains helpful information to help you and your child get ready.

ariya%2Bgala%2B011.jpg

20190919_102042(0).jpg
 
Your Child's Procedure and How to Prepare

Hearing that your child needs a surgery or procedure can be stressful. This information has been put together to help you and your child feel prepared.


 
What to expect on procedure day

Your child’s surgery has been carefully planned and now you’re waiting for procedure day. Click here and take a walk through the OR with your child to know what to expect.

._going in for surgery.jpg

image.jpg
 
EXTERNAL FiXATION: WHAT YOU NEED TO KNOW

A comprehensive guide on external fixation - including pin site care, physiotherapy, splints and aids, daily living, follow-ups, and finally removal. Using an external fixator, our team can correct multiple limb problems.


 
REMOVAL OF YOUR CHILD'S EXTERNAL FIXATOR

Your surgeon has recommended that it is time to remove your child’s external frame! This pamphlet breaks down what to expect and how you and your child can best prepare for their frame removal.

soph%2Bsurg.jpg

2019%252B11%252B08%252B%252528DX%252BFemur%252BRT%252529_2.jpg
2018%2B06%2B25%2B%2528DX%2BFemur%2BRT%2529.jpg
 
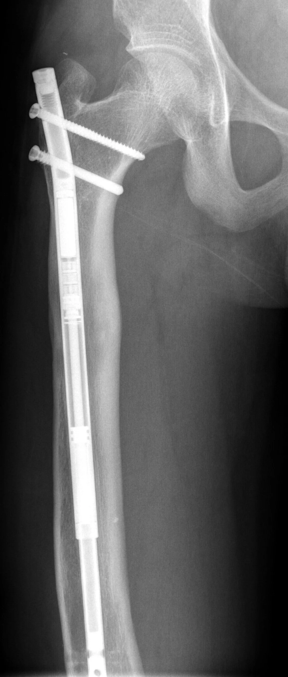
Internal Lengthening

Sometimes an internal nail and magnet can be used for lengthening . This guide covers information on the operation, aftercare, and your role in the lengthening process.


 
Guided Growth

Plates are used to correct knock knees or bowed legs. They are inserted in the bone to guide growth of the legs until they are straight.

2016 02 29 (DX Knee BILAT).jpg

 
Child Life Specialist

Do you and your child need extra support? Child Life Specialists are educated and clinically trained in the developmental impact of any illness and injury you may have. Click on the blue button to learn more.


 
Epiphysiodesis

An epiphysiodesis is an operation used to stop a bone from growing. It is used to correct limb length differences. This guide will provide more information about the procedure and help you better prepare.

Epiphysiodesis.jpg

exercise tumbnail.PNG
 
Stretching and Strengthening Exercises

By consistently following the exercise program provided by our clinic team, you can reduce soreness, increase flexibility and strength, ensure your muscles catch-up to your lengthening bone, and speed-up recovery.


 
How to use crutches

Crutches are used to help with balance, walking, and doing everyday activities. Learning how to properly use crutches is important for safe use, quicker recovery, and increased confidence.

IMG_6358.jpg

BCCH.jpg
 
Places to stay near bc children's hospital

For out-of-town families, you may want to stay near the hospital prior-to or after your child’s procedure.

The BC Family Residence Program provides accommodations for any eligible out-of-town BC families with a child at BC Children’s Hospital at no cost.